Lung Expansion Test
![]()
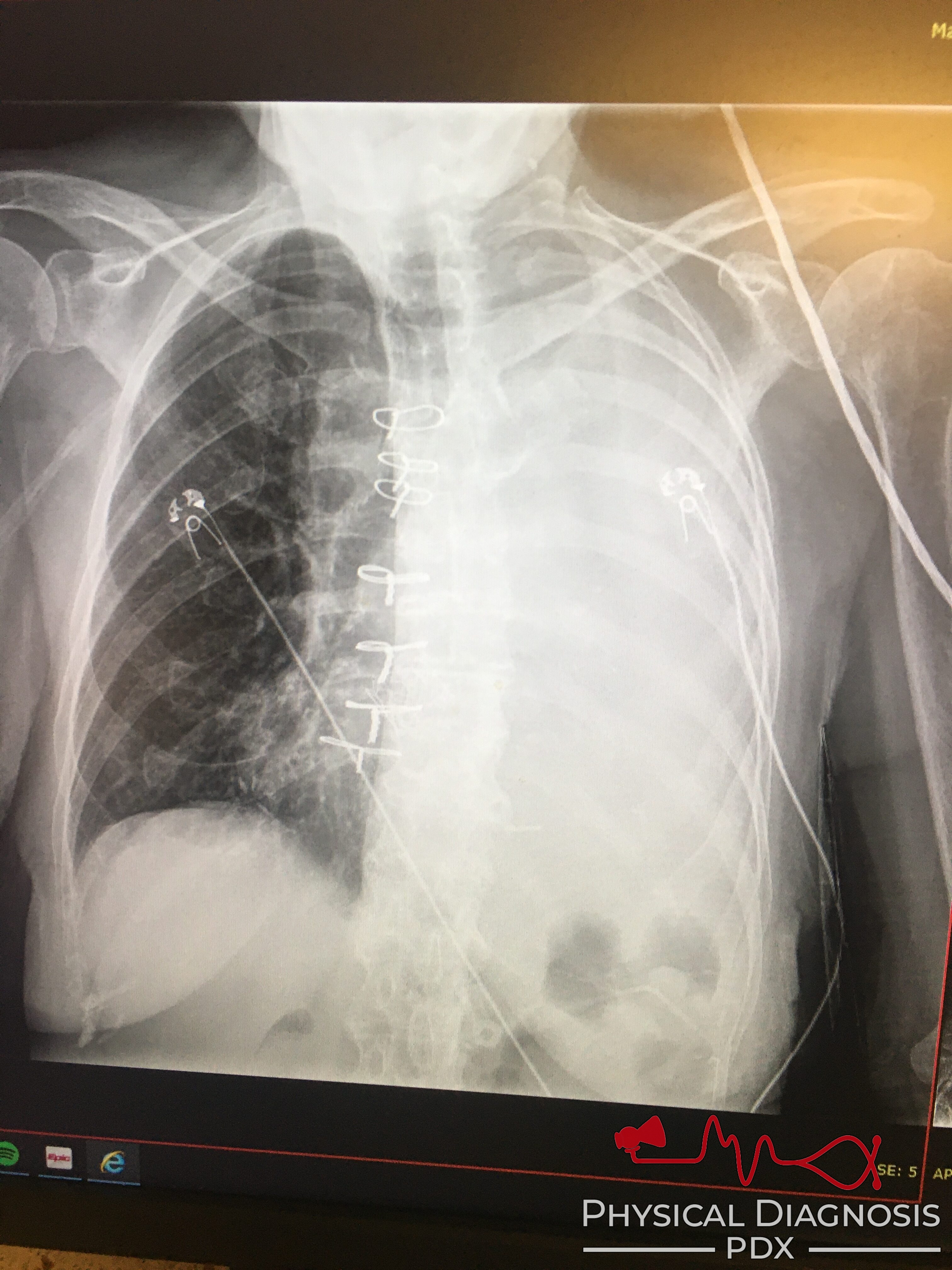
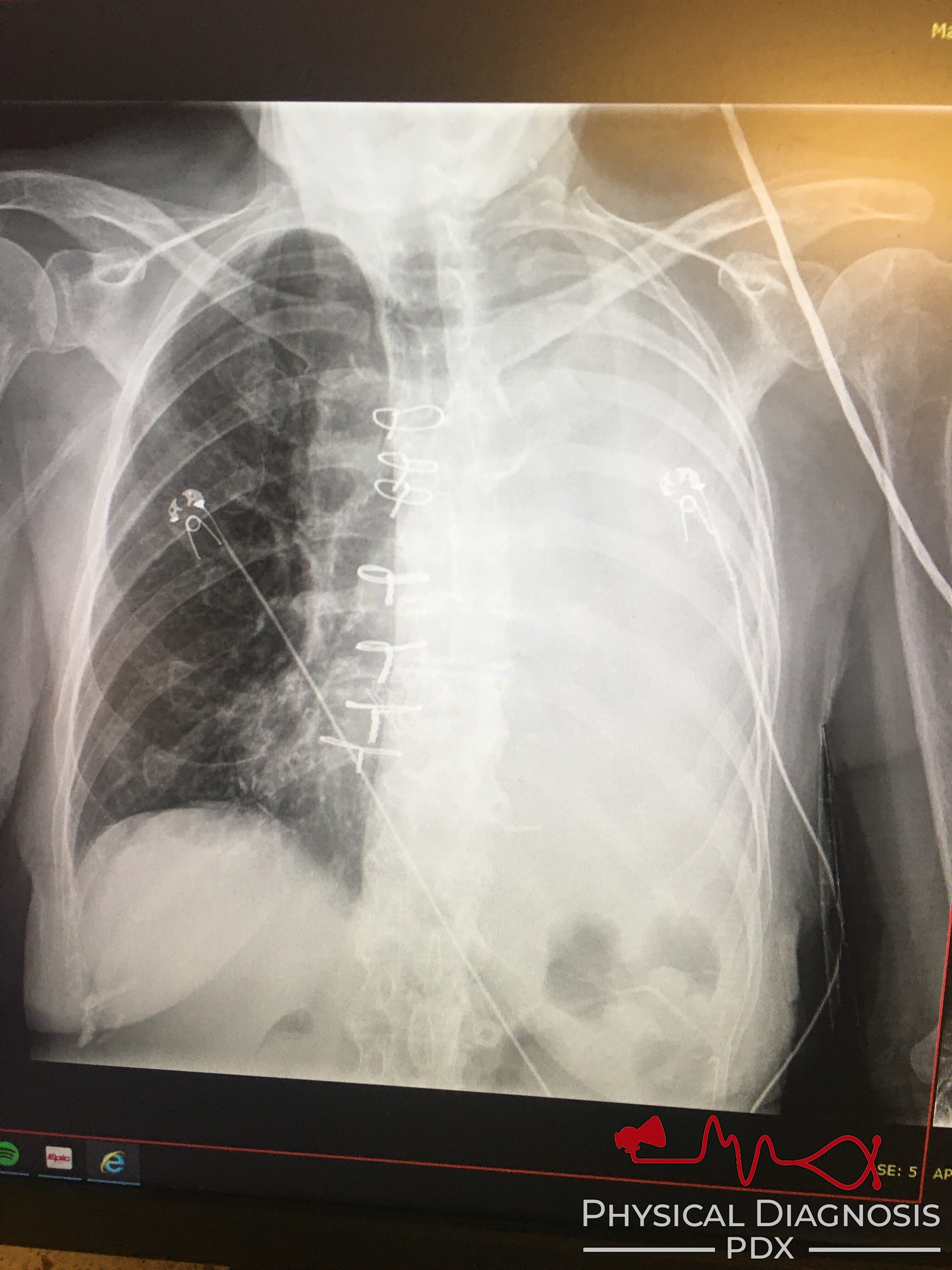
Patient 1:
This patient is a middle aged woman who presented with chronic cough. The finding is asymmetric chest expansion on inspiration. Her CXR shows a complete white out of her left lung. She had a large, malignant pleural effusion from a small cell lung cancer.

